Table of Contents
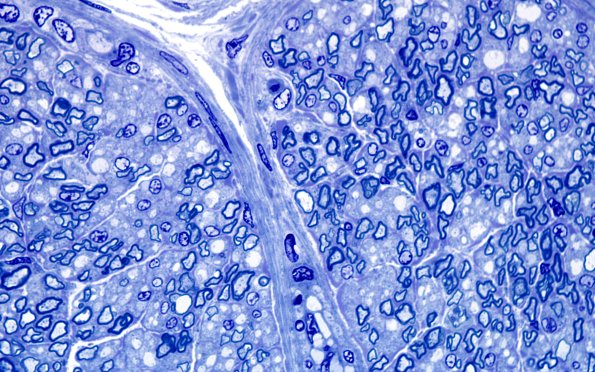
Washington University Experience | PERIPHERAL NEUROPATHY | 1 NORMAL NERVE ANATOMY | 6 Infant Peripheral Nerve | 3A4 Infant, 4wk age (Case 3) Plastic 100X 1
Higher magnification of one of the fascicles shown in #3A1. (Plastic section)
