Table of Contents
Washington University Experience | PERIPHERAL NEUROPATHY | 1 NORMAL NERVE ANATOMY | 6 Infant Peripheral Nerve | 3B1 (Case 3) - Copy
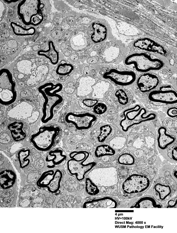
3B1 Low magnification images suggest immature non-myelinated axons, perhaps with a degree of autolytic artifact? (electron micrograph)
