Table of Contents
Washington University Experience | PERIPHERAL NEUROPATHY | 1 NORMAL NERVE ANATOMY | 6 Infant Peripheral Nerve | 3B2 (Case 3) 023 - Copy copy
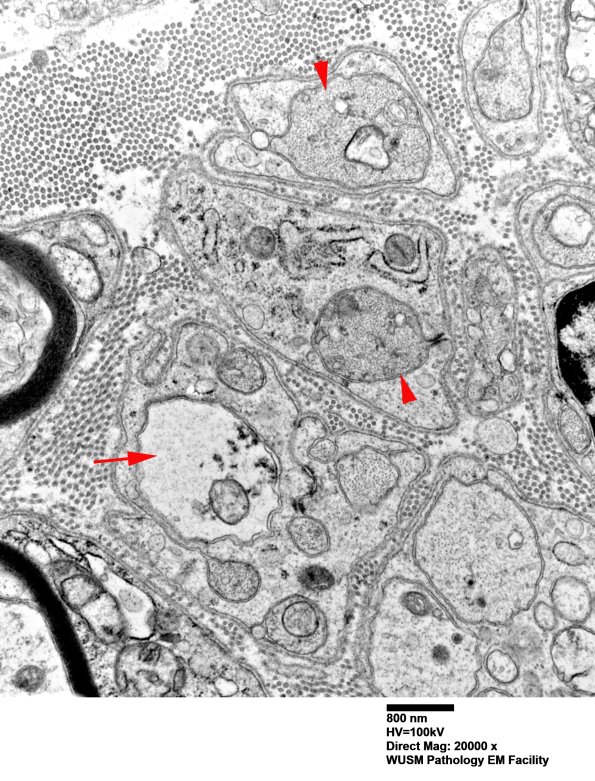
3B2 The two structures marked with arrowheads are clearly axons with mesaxons. (electron micrograph). The pale structure has lucent cytoplasm and some hints at degeneration. I think this is an axon with superimposed pathology or artifact. (electron micrograph)
