Table of Contents
Washington University Experience | PERIPHERAL NEUROPATHY | 1 NORMAL NERVE ANATOMY | 6 Infant Peripheral Nerve | 3B3 (Case 3) 015 - Copy
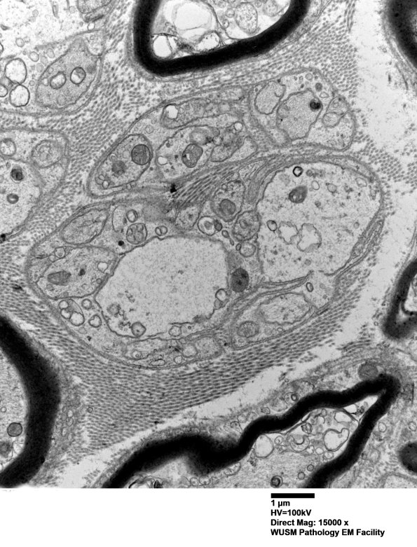
These structures are surrounded by Schwann cell cytoplasm but seem to be held with other smaller axons in what appears to be a developing Remak bundle; however, they appear too large. (electron micrograph)
