Table of Contents
Washington University Experience | PERIPHERAL NEUROPATHY | 1 NORMAL NERVE ANATOMY | 6 Infant Peripheral Nerve | 3B4 (Case 3) 040 - Copy copy
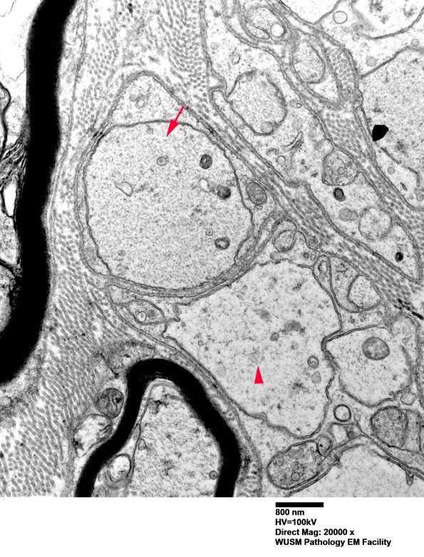
The large structure marked with an arrow appears to be a pre-myelinated axon; however, the structure marked with an arrowhead appears to have some subtle degenerative changes. (electron micrograph)
