Table of Contents
Washington University Experience | PERIPHERAL NEUROPATHY | 1 NORMAL NERVE ANATOMY | 6 Infant Peripheral Nerve | 3B5 (Case 3) 038 - Copy
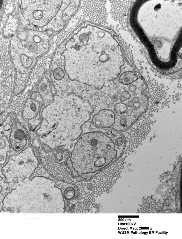
This pair of structures has similar appearance to the previously presented two axon-like forms. (electron micrograph)
