Table of Contents
Washington University Experience | PERIPHERAL NEUROPATHY | 1 NORMAL NERVE ANATOMY | 6 Infant Peripheral Nerve | 4B2 (Case 4) Sural_002 - Copy - Copy
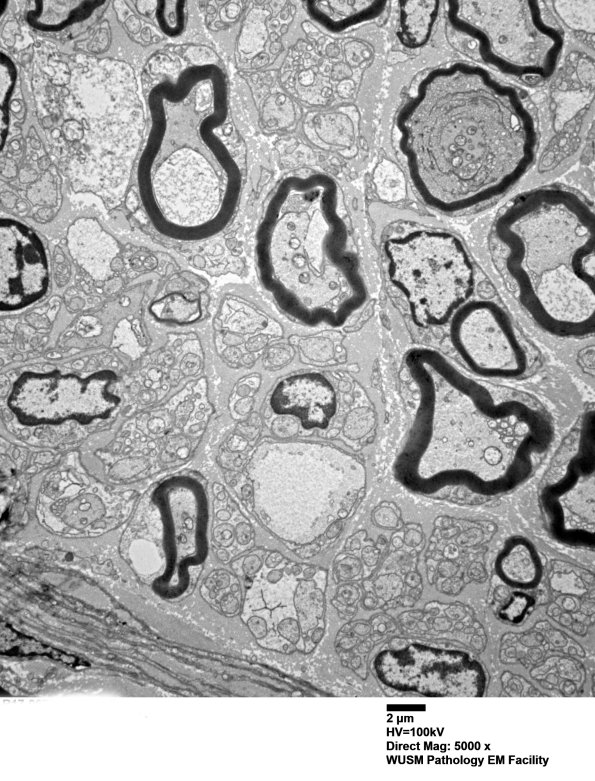
In this individual there are significant populations of both large and small myelinated axons as well as pale pre-myelinated axons. (electron micrograph)
