Table of Contents



Washington University Experience | PERIPHERAL NEUROPATHY | 1 NORMAL NERVE ANATOMY | 6 Infant Peripheral Nerve | 4B4 (Case 4) Sural_004 - Copy

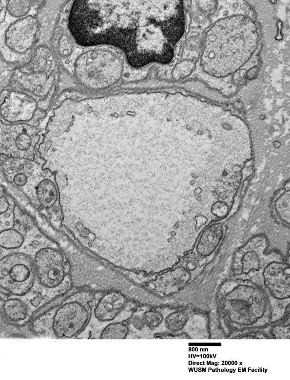
4B4 (Case 4) Sural_004 - Copy
Higher magnification of pale pre-myelinated axons. (electron micrograph)


Gallery RSS RSS Feed | Archive View | Login | Powered by Zenphoto