Table of Contents
Washington University Experience | PERIPHERAL NEUROPATHY | 1 NORMAL NERVE ANATOMY | 6 Infant Peripheral Nerve | 5A3 Sciatic nerve (Case 5) 21 wk fetus sciatic Plastic 1
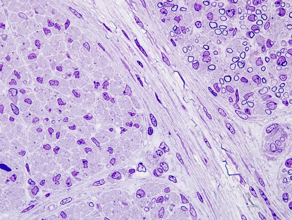
This is an unusual nerve in which there is fascicle-to-fascicle variability in the populations of myelinated axons. (Toluidine blue-stained one-micron thick plastic-embedded section)
