Table of Contents
Washington University Experience | PERIPHERAL NEUROPATHY | 1 NORMAL NERVE ANATOMY | 6 Infant Peripheral Nerve | 5A4 Sciatic nerve (Case 5) 21 wk fetus sciatic Plastic 2
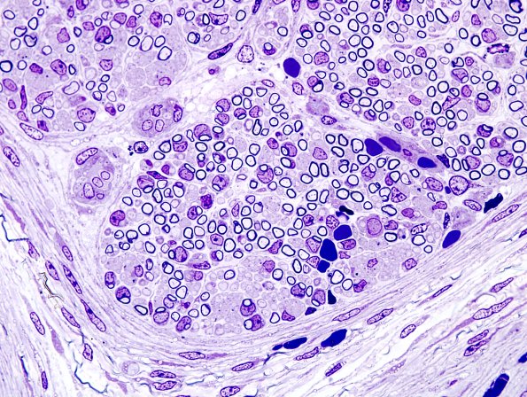
The myelinated axon population was unimodal. (Toluidine blue-stained one-micron thick plastic-embedded section)
