Table of Contents
Washington University Experience | PERIPHERAL NEUROPATHY | 1 NORMAL NERVE ANATOMY | 6 Infant Peripheral Nerve | 6B1 (Case 6) Sural_003 - Copy
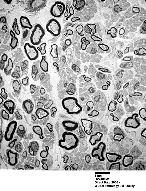
6B1,2 These low magnification images show developing bimodal populations of large and small myelinated axons which look discrete; however, there are numerous developing axons with myelination still ongoing. (electron micrographs)
