Table of Contents
Washington University Experience | PERIPHERAL NEUROPATHY | 1 NORMAL NERVE ANATOMY | 6 Infant Peripheral Nerve | 6B10 (Case 6) EM 015 - Copy copy
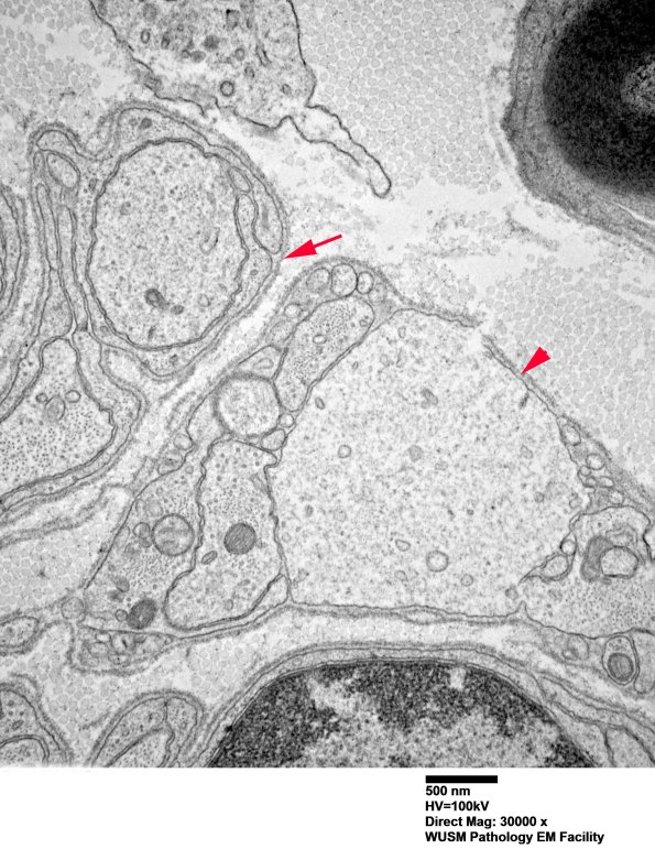
This image contains a pre-myelinated axon (the arrow marks an external mesaxon) but the large pale element (arrowhead) continues to confuse us (? Immature axon, with or without artifact induced by autopsy, autolytic Schwann cell process). (electron micrograph)
