Table of Contents
Washington University Experience | PERIPHERAL NEUROPATHY | 1 NORMAL NERVE ANATOMY | 6 Infant Peripheral Nerve | 6B11 (Case 6) EM 027 - Copy
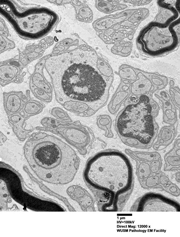
6B11,12 These structures also confuse us. We have considered a variety of entities but tentatively thought these were degenerating Schwann cell nuclei. Notice the area of 6B12 that the granular nucleus is surrounded by a tubular structure with ribosomes on the external leaflet (arrow, 6B12) and a possible nuclear pore (arrowhead, 6B12). (electron micrographs)
