Table of Contents
Washington University Experience | PERIPHERAL NEUROPATHY | 1 NORMAL NERVE ANATOMY | 6 Infant Peripheral Nerve | 6B12 (Case 6) EM 029a - Copy copy
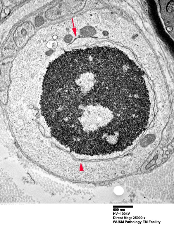
We have considered a variety of entities but tentatively thought these were degenerating Schwann cell nuclei. (electron micrograph)
