Table of Contents



Washington University Experience | PERIPHERAL NEUROPATHY | 1 NORMAL NERVE ANATOMY | 6 Infant Peripheral Nerve | 6B13 (Case 6) EM 031 - Copy

6B13 (Case 6) EM 031 - Copy
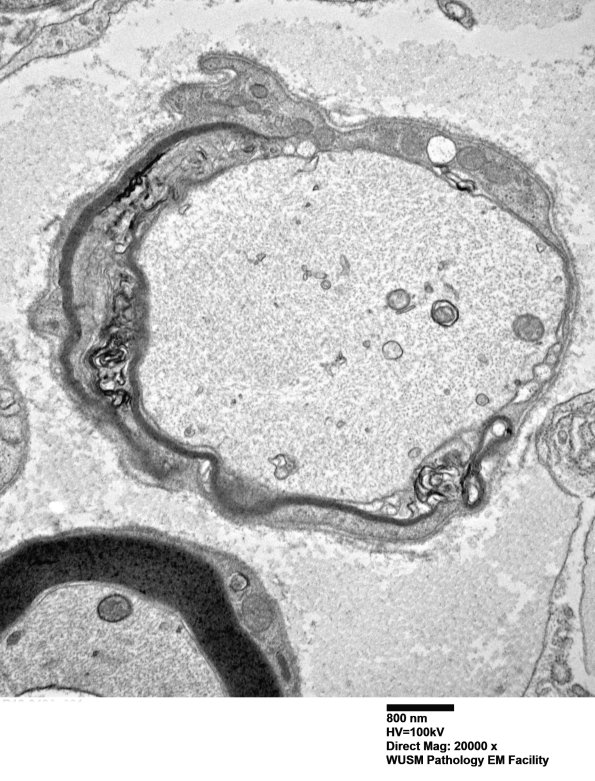
This image shows an early myelination stage in a large axon. (electron micrograph)


Gallery RSS RSS Feed | Archive View | Login | Powered by Zenphoto