Table of Contents
Washington University Experience | PERIPHERAL NEUROPATHY | 1 NORMAL NERVE ANATOMY | 6 Infant Peripheral Nerve | 6B14 (Case 6) EM 034 - Copy - Copy
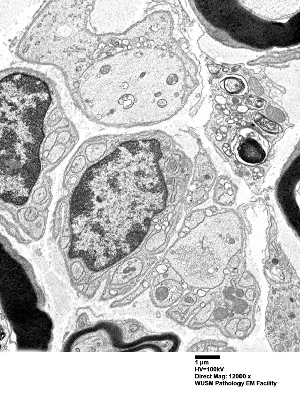
The superior element appears convincing for a pre-myelinated axon but the inferior structure has significant tubulovesicular elements (arrow) could represent part of a growth cone. The debris laden cell (arrowhead) is unusual in immature developing nerve. (electron micrograph)
