Table of Contents
Washington University Experience | PERIPHERAL NEUROPATHY | 1 NORMAL NERVE ANATOMY | 6 Infant Peripheral Nerve | 6B2 (Case 6) EM 002 - Copy
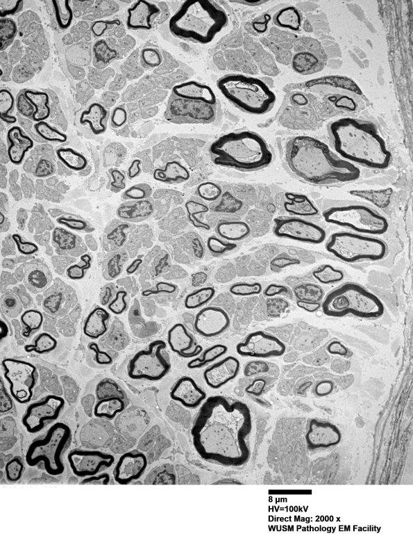
These low magnification images show developing bimodal populations of large and small myelinated axons which look discrete
