Table of Contents
Washington University Experience | PERIPHERAL NEUROPATHY | 1 NORMAL NERVE ANATOMY | 6 Infant Peripheral Nerve | 6B3 (Case 6) EM 006 - Copy copy
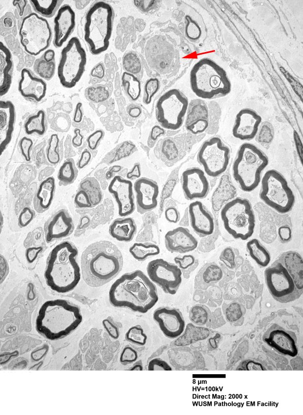
6B3-5 This image shows one particularly photogenic large pre-myelinated axon (arrow, 6B3), seen at higher magnification in the subsequent images. (electron micrographs)
