Table of Contents



Washington University Experience | PERIPHERAL NEUROPATHY | 1 NORMAL NERVE ANATOMY | 6 Infant Peripheral Nerve | 6B4 (Case 6) EM 009 - Copy

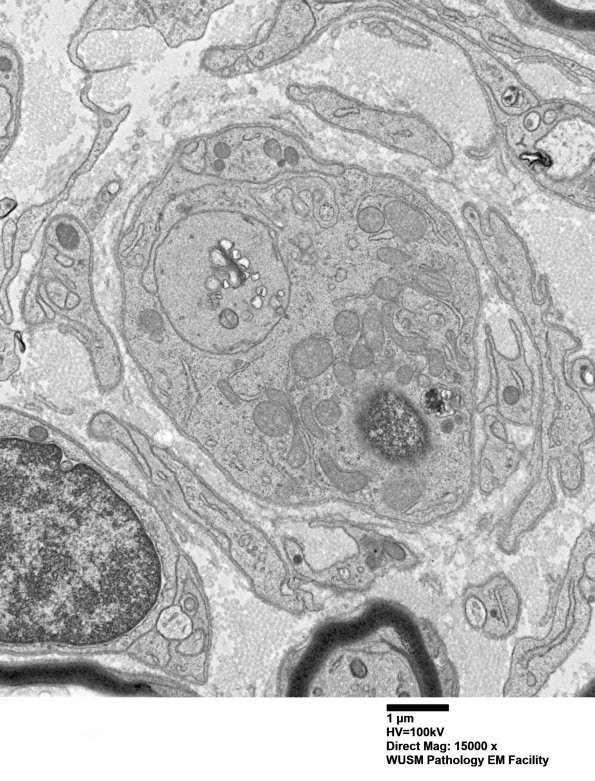
6B4 (Case 6) EM 009 - Copy
Higher magnification of image #6B3 in the subsequent images. (electron micrographs)


Gallery RSS RSS Feed | Archive View | Login | Powered by Zenphoto