Table of Contents



Washington University Experience | PERIPHERAL NEUROPATHY | 1 NORMAL NERVE ANATOMY | 6 Infant Peripheral Nerve | 6B5 (Case 6) EM 011 - Copy (2)

6B5 (Case 6) EM 011 - Copy (2)
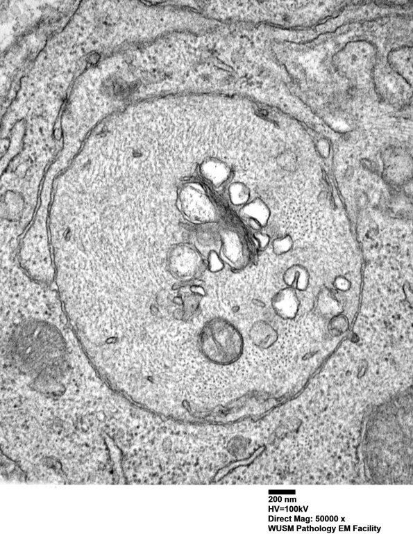
Higher magnification of image #6B3 in the subsequent images. (electron micrographs)


Gallery RSS RSS Feed | Archive View | Login | Powered by Zenphoto