Table of Contents



Washington University Experience | PERIPHERAL NEUROPATHY | 1 NORMAL NERVE ANATOMY | 6 Infant Peripheral Nerve | 6B6 (Case 6) EM 017 - Copy

6B6 (Case 6) EM 017 - Copy
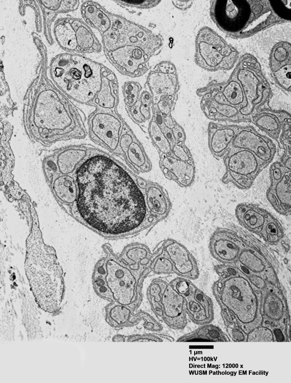
These appear to be unmyelinated axons forming Remak bundles. (electron micrograph)


Gallery RSS RSS Feed | Archive View | Login | Powered by Zenphoto