Table of Contents
Washington University Experience | PERIPHERAL NEUROPATHY | 1 NORMAL NERVE ANATOMY | 6 Infant Peripheral Nerve | 6B7 (Case 6) EM 013 - Copy copy
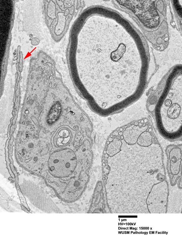
6B7-9 There are numerous processes and cells which are a bit difficult to place as perineurium or Schwann cell, lacking basal lamina but perhaps immature Schwann cells, or macrophages, lacking autophagosomes, although unchallenged histiocytic elements are still a possibility. We settled on the cells representing fibroblasts, running out of other actors. (electron micrographs)
