Table of Contents
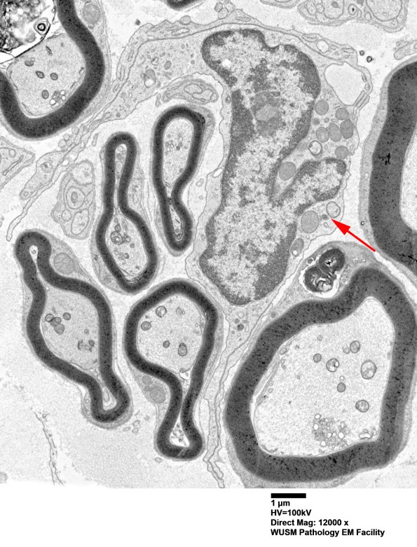
Washington University Experience | PERIPHERAL NEUROPATHY | 1 NORMAL NERVE ANATOMY | 6 Infant Peripheral Nerve | 6B8 (Case 6) EM 016 - Copy copy
We settled on the cells representing fibroblasts, running out of other actors. (electron micrographs)
