Table of Contents
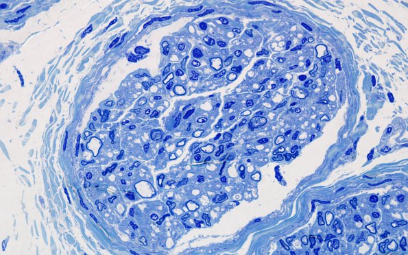
Washington University Experience | PERIPHERAL NEUROPATHY | 1 NORMAL NERVE ANATOMY | 6 Infant Peripheral Nerve | 7A2 Infant, (Case 7) Plastic 100X 3
Plastic sections in this patient show a decreased density of myelinated axons and more numerous pale structures. (Toluidine blue-stained one-micron thick plastic-embedded section)
