Table of Contents
Washington University Experience | PERIPHERAL NEUROPATHY | 1 NORMAL NERVE ANATOMY | 6 Infant Peripheral Nerve | 7B2 (Case 7) sural_006 - Copy
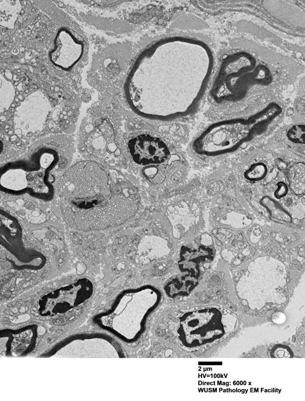
7B2,3 Notice that a number of the large pale non-myelinated axons have the same pallid axoplasm as do the myelinated axons.
