Table of Contents
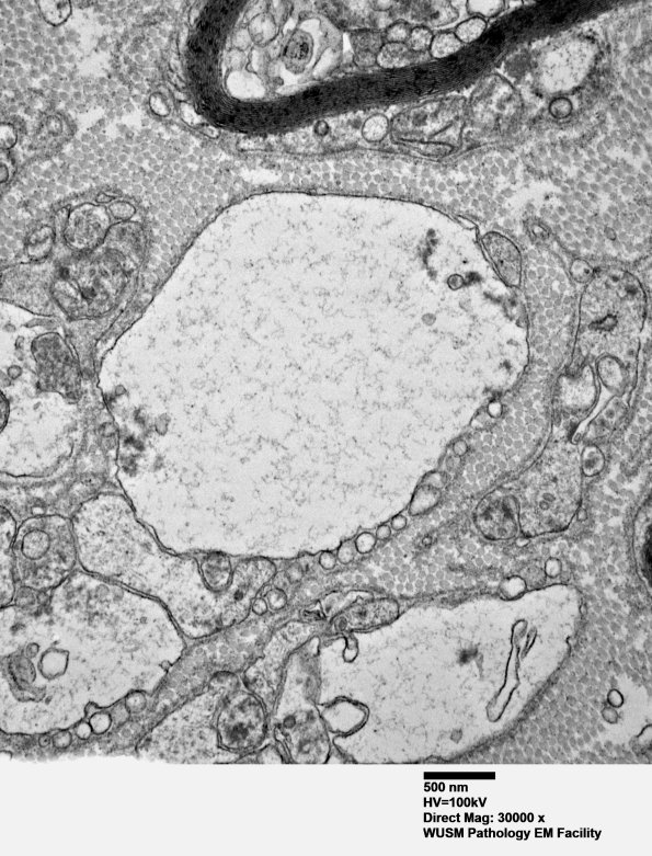
Washington University Experience | PERIPHERAL NEUROPATHY | 1 NORMAL NERVE ANATOMY | 6 Infant Peripheral Nerve | 7B4 (Case 7) sural_010 - Copy
This appears to represent a degenerating immature axon but I am not certain (electron micrograph)
