Table of Contents
Washington University Experience | PERIPHERAL NEUROPATHY | 1 NORMAL NERVE ANATOMY | 7 Biopsied Nerves Other than Sural | 1A0 normal Cervical Vagus nerve Plastic 1
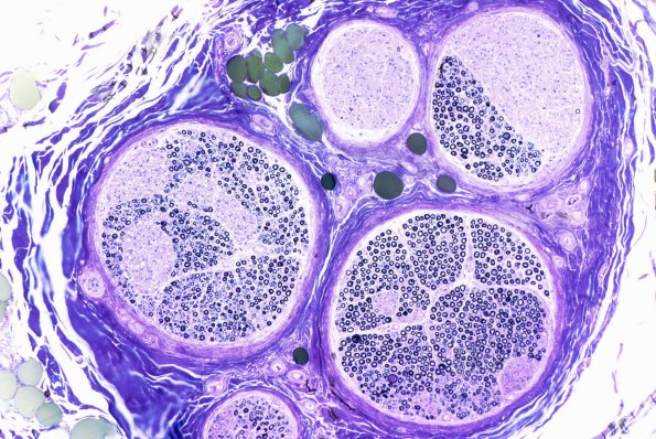
A0 Although this nerve appears pathologic, it is actually an image of a normal human cervical vagus nerve with segregation of fiber types in anticipation of branching and destination. (Toluidine-blue stained one-micron thick plastic embedded section)
