Table of Contents
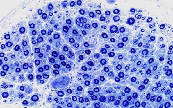
Washington University Experience | PERIPHERAL NEUROPATHY | 1 NORMAL NERVE ANATOMY | 7 Biopsied Nerves Other than Sural | 1A4 Nerve axons near nl AIN (Case 1) 40X 4
Notice the numerous compact “regenerative axonal clusters” (arrows, 1A3) at higher magnification. We have found that these structures are prominent in AIN, even in nerve appearing otherwise unremarkable. In many cases they are enriched in clusters of small myelinated axons unaccompanied by axonal degeneration. Could they represent a normal pattern of axon grouping in the AIN or at least caution to not make diagnoses solely on their presence. (Toluidine-blue stained one-micron thick plastic embedded sections)
