Table of Contents
Washington University Experience | PERIPHERAL NEUROPATHY | 1 NORMAL NERVE ANATOMY | 7 Biopsied Nerves Other than Sural | 1A6 Nerve axons near nl AIN (Case 1)100X 7 copy
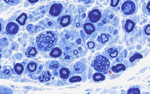
Most true regenerative clusters have fewer small axons since they are sprouts of a single degenerating parent axon. This cluster (arrow) more resemble the mini-fascicles seen in traumatic neuromas but are not surrounded by perineurium. (Toluidine-blue stained one-micron thick plastic embedded section)
