Table of Contents
Washington University Experience | PERIPHERAL NEUROPATHY | 1 NORMAL NERVE ANATOMY | 7 Biopsied Nerves Other than Sural | 1B11 (Case 1) EM 037 - Copy
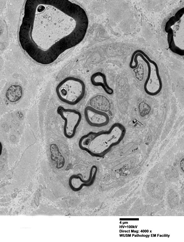
These examples have both normal and abnormal structures within the clusters. (Electron micrographs)
