Table of Contents
Washington University Experience | PERIPHERAL NEUROPATHY | 1 NORMAL NERVE ANATOMY | 7 Biopsied Nerves Other than Sural | 1B13 (Case 1) EM 065 copy - Copy
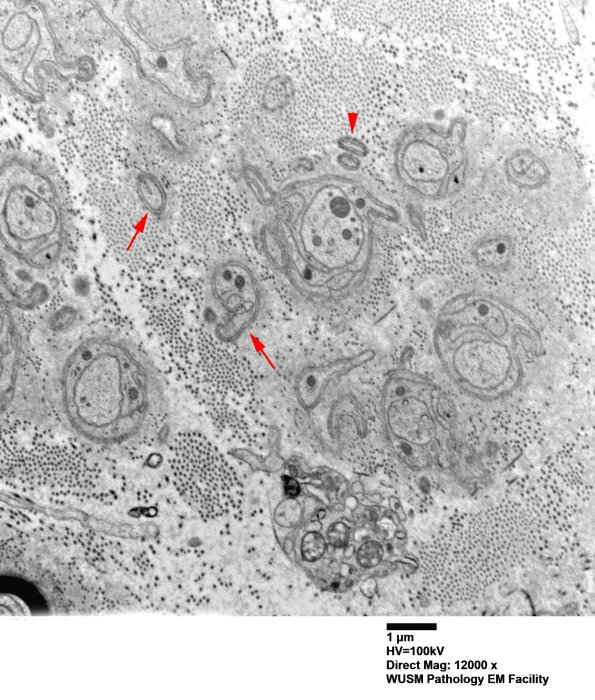
1B13,14 The presence of singletons (one unmyelinated axon surrounded by a Schwann process), Schwann processes devoid of axons (arrows), collagen pockets and free basement membrane without Schwann cell processes (arrowheads) ultimately attests to the pathology of this nerve. (Electron micrographs)
