Table of Contents
Washington University Experience | PERIPHERAL NEUROPATHY | 1 NORMAL NERVE ANATOMY | 7 Biopsied Nerves Other than Sural | 1B14 (Case 1) EM 075 - Copy - Copy
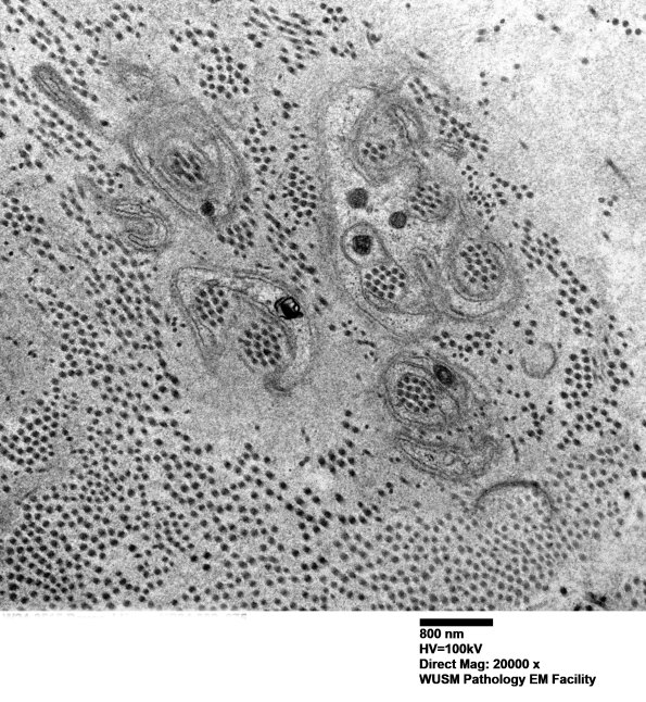
There are numerous collagen pockets in this nerve, evidence for unmyelinated axon loss. (Electron micrograph)
