Table of Contents
Washington University Experience | PERIPHERAL NEUROPATHY | 1 NORMAL NERVE ANATOMY | 7 Biopsied Nerves Other than Sural | 1B9 (Case 1) EM 041 - Copy
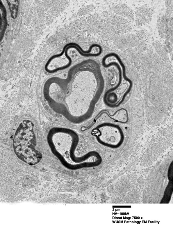
1B9-12 These examples have both normal and abnormal structures within the clusters. (Electron micrographs)
