Table of Contents
Washington University Experience | PERIPHERAL NEUROPATHY | 1 NORMAL NERVE ANATOMY | 7 Biopsied Nerves Other than Sural | 2A1 (Case 2) Plastic 10X
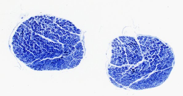
Case 2 History ---- A 37 year old female with symmetric polyneuropathy and severe LE weakness. She has a transtthyretin mutation and a history of painful small fiber neuropathy. EMG showed evidence of severe axonal polyneuropathy with asymmetry or multifocality based on careful side by side comparison of motor and sensory studies. These findings may be seen in a confluent mononeuritis multiplex. ---- 2A1 The AIN neurosurgical biopsy consists of two fascicles which show minimal axon loss at this magnification. The number of large myelinated axons exceeds small myelinated axons with the significant exception represented by collections of small myelinated axons clustered in groups. (Toluidine-blue stained one-micron thick plastic embedded section)
