Table of Contents
Washington University Experience | PERIPHERAL NEUROPATHY | 1 NORMAL NERVE ANATOMY | 7 Biopsied Nerves Other than Sural | 2A3 (Case 2) Plastic 60X 2
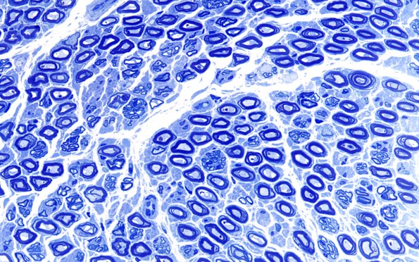
Higher magnification images show large numbers of clusters of thinly myelinated small axons mimicking regenerative clusters.
