Table of Contents
Washington University Experience | PERIPHERAL NEUROPATHY | 1 NORMAL NERVE ANATOMY | 7 Biopsied Nerves Other than Sural | 2B1 (Case 2) EM 022 - Copy
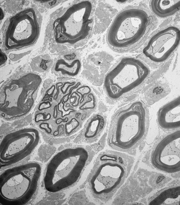
This low magnification electron micrograph shows numerous large myelinated axons and a cluster of thinly myelinated small normal appearing axons. (Electron micrographs)
