Table of Contents
Washington University Experience | PERIPHERAL NEUROPATHY | 1 NORMAL NERVE ANATOMY | 7 Biopsied Nerves Other than Sural | 2B5 AIN_016 - Copy.jpg
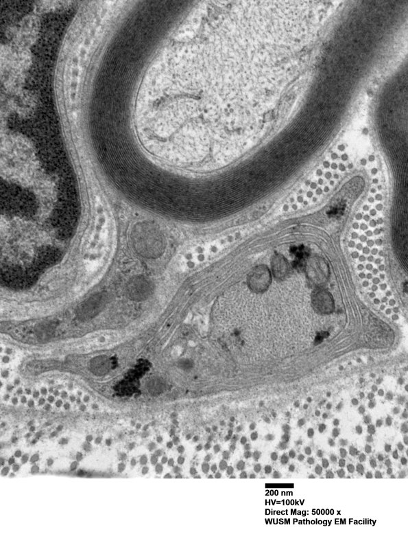
Multiple images of this cluster of immature, likely regenerative axons, collections of Schwann cell cytoplasm and small axons which represents pathologic alteration and not normal structures. Notice the intact basal lamina which surrounds the entire collection of elements. (Electron micrographs)
