Table of Contents
Washington University Experience | PERIPHERAL NEUROPATHY | 1 NORMAL NERVE ANATOMY | 7 Biopsied Nerves Other than Sural | 2B5 AIN_014 - Copy - Copy
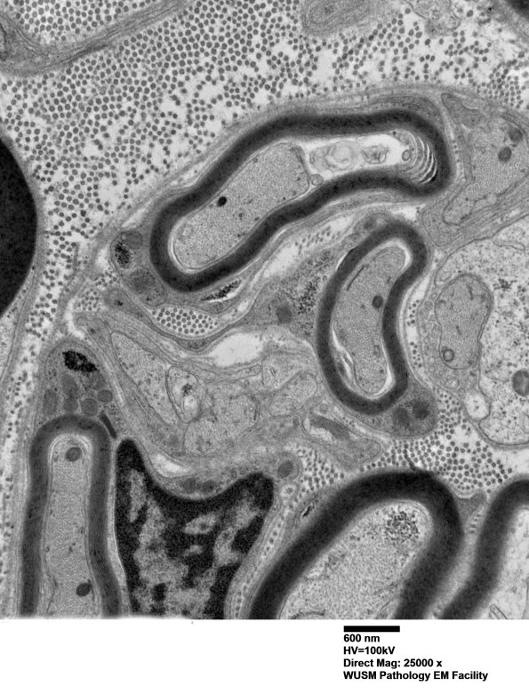
Multiple images of this cluster of immature, likely regenerative axons, collections of Schwann cell cytoplasm and small axons which represents pathologic alteration and not normal structures. (electron micrograph)
