Table of Contents
« prev
next »
Washington University Experience
|
PERIPHERAL NEUROPATHY
|
1 NORMAL NERVE ANATOMY
|
7 Biopsied Nerves Other than Sural
|
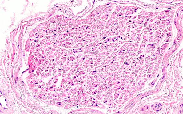
2C (Case 2) H&E 40X 1
The clusters are not confidently demonstrated in H&E preparation. (H&E)
Image Info
Camera Maker:
Olympus
Camera Model:
DP74
Shutter Speed:
29/7754 sec
Metering Mode:
Multi-Spot
Gallery RSS
|
Archive View
|
Login
|
Powered by
Zenphoto