Table of Contents
Washington University Experience | PERIPHERAL NEUROPATHY | 1 NORMAL NERVE ANATOMY | 7 Biopsied Nerves Other than Sural | 2D1 (Case 2) NF 40X 1
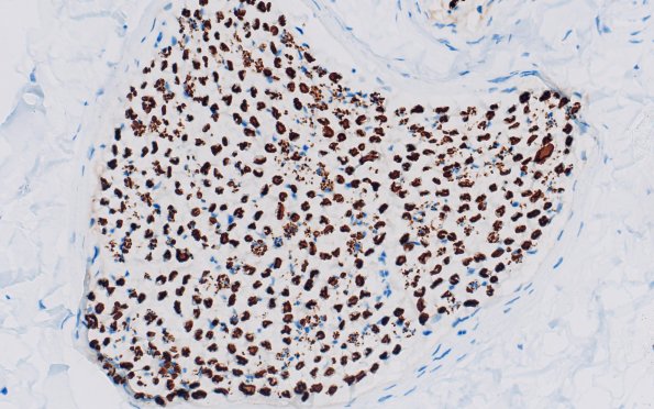
2D1-3 However, the axonal clusters are well demonstrated by neurofilament immunohistochemistry. The constituent axons are too large to represent Remak bundles. (NF IHC)
