Table of Contents
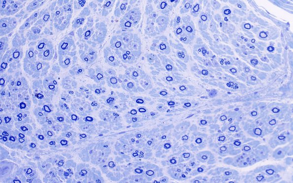
Washington University Experience | PERIPHERAL NEUROPATHY | 1 NORMAL NERVE ANATOMY | 7 Biopsied Nerves Other than Sural | 3A2 (Case 3) AIN AIN 40X
This is a more appropriate setting for the presence of regenerative clusters accompanying axons which have myelin which is too thin for axon caliber, evidence for a cycle of axonal degeneration and regeneration. (Toluidine-blue stained one-micron thick plastic embedded section)
