Table of Contents
Washington University Experience | PERIPHERAL NEUROPATHY | 1 NORMAL NERVE ANATOMY | 7 Biopsied Nerves Other than Sural | 3A3 (Case 3) AIN 60X 2
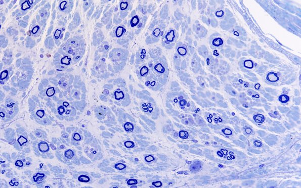
3A3,4 Regenerative clusters appear within a sea of lost axons. (Toluidine-blue stained one-micron thick plastic embedded section)
