Table of Contents
Washington University Experience | PERIPHERAL NEUROPATHY | 1 NORMAL NERVE ANATOMY | 7 Biopsied Nerves Other than Sural | 3A4 (Case 3) AIN 100X 1
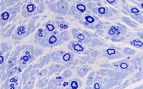
Regenerative clusters appear within a sea of lost axons. (Toluidine-blue stained one-micron thick plastic embedded section)
