Table of Contents
Washington University Experience | PERIPHERAL NEUROPATHY | 1 NORMAL NERVE ANATOMY | 7 Biopsied Nerves Other than Sural | 3B5 (Case 3) EM 014 - Copy
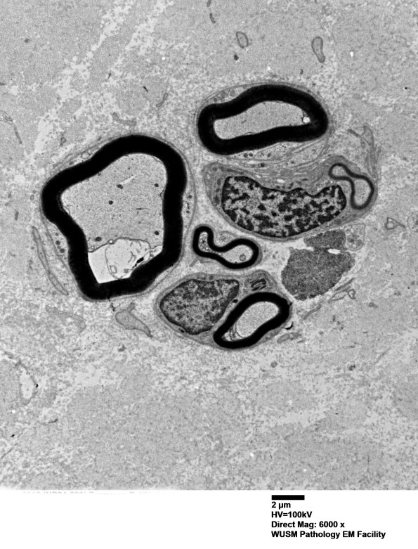
These regenerative clusters fail to be enclosed by a continuous basal lamina, reflecting my experience in sural nerve regenerative clusters and not the typical AIN clusters.
