Table of Contents
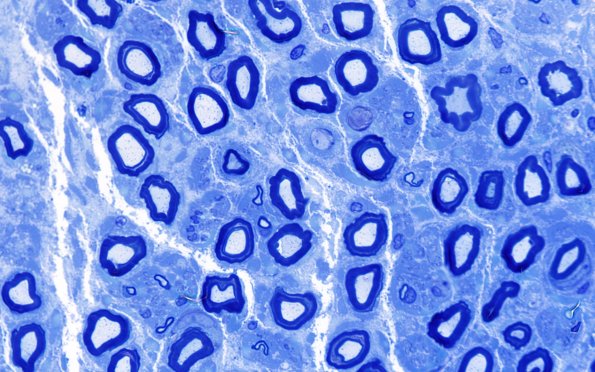
Washington University Experience | PERIPHERAL NEUROPATHY | 1 NORMAL NERVE ANATOMY | 7 Biopsied Nerves Other than Sural | 4A4 (Case 4) AIN Plastic 100X 2
There are scattered degenerating or residual Schwann cells with lipidic debris but very few small myelinated axons largely without regenerative clusters as well as numerous preserved large myelinated axons. (Toluidine-blue stained one-micron thick plastic embedded section)
