Table of Contents
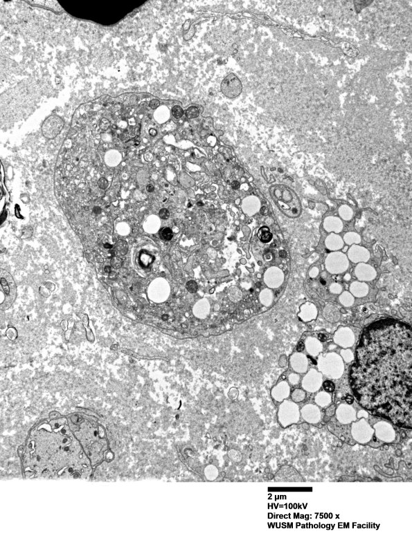
Washington University Experience | PERIPHERAL NEUROPATHY | 1 NORMAL NERVE ANATOMY | 7 Biopsied Nerves Other than Sural | 4B1 (Case 4) AIN EM 044 - Copy
4B1,2 These are classical examples of active axonal degeneration in this AIN nerve. (Electron micrographs)
