Table of Contents
Washington University Experience | PERIPHERAL NEUROPATHY | 1 NORMAL NERVE ANATOMY | 7 Biopsied Nerves Other than Sural | 4B2 (Case 4) AIN EM 047 - Copy
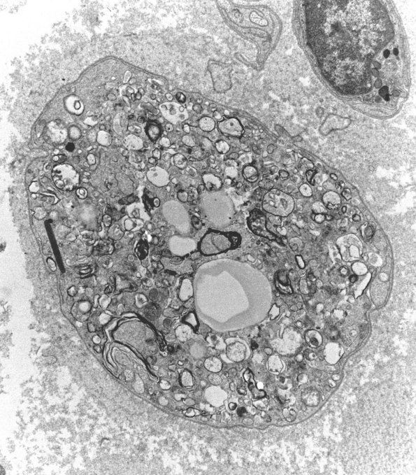
This is a classical example of active axonal degeneration in this AIN nerve. (Electron micrographs)
