Table of Contents
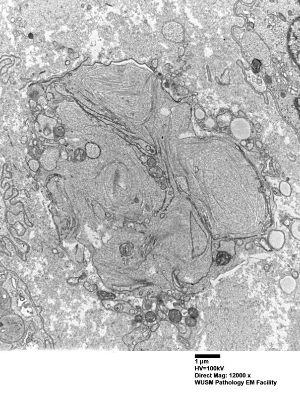
Washington University Experience | PERIPHERAL NEUROPATHY | 1 NORMAL NERVE ANATOMY | 7 Biopsied Nerves Other than Sural | 4B3 (Case 4) AIN EM 040 - Copy
This image shows a large amount of residual axonal and myelin debris within a Schwann cell adjacent to an apparent macrophage process. (Electron micrograph)
