Table of Contents
Washington University Experience | PERIPHERAL NEUROPATHY | 1 NORMAL NERVE ANATOMY | 7 Biopsied Nerves Other than Sural | 4B5 (Case 4) AIN EM 015 - Copy
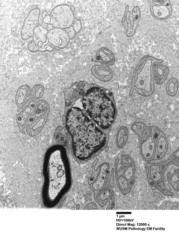
Axon loss accompanied by axonal depopulation of Schwann cells, residual basal lamina and macrophages with lipidic debris. (Electron micrographs)
