Table of Contents
Washington University Experience | PERIPHERAL NEUROPATHY | 1 NORMAL NERVE ANATOMY | 7 Biopsied Nerves Other than Sural | 6A1 (Case 6) LABC Plastic 40X 2
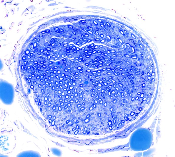
Case 6 History ---- The patient is a 57-year-old woman with diabetic polyneuropathy associated with type 2 diabetes mellitus. Operative procedure: Left lateral antebrachial cutaneous nerve (LABC) biopsy. ---- 6A1,2 We have even less experience with this sensory nerve. The plastic sections show a prominence of large myelinated axons and would be quite abnormal for a sural nerve population. (Toluidine-blue stained one-micron thick plastic embedded section)
